Да помогнем на Иво в борбата с Рака! Let's help Ivo fight Cancer!

Liječenje, medicinski troškovi i rehabilitacija 0/0
 Donatori
55%
Donirano: 85632.2 EUR Cilj: 155554 EUR
Ova kampanja je završena. Pratite odjeljak Vijesti kako biste bili u tijeku s novostima i transakcijama (ako ih nema, kampanja još nije isplaćena).
Organizator
Мартина Караколева
Korisnik
Иво Събчев Димитров
Datum završetka
Završila
Raspoloživi iznos
0.01 EUR
Мартина Караколева organizira kampanju za Иво Събчев Димитров
Završila
Raspoloživi iznos
0.01 EUR

Отново пътуваме за Турция! We are travelling to Turkey again!

20. prosinca 2024

Здравейте, прекрасни хора с огромни сърца!

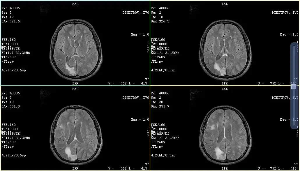
Само дни преди най-светлите семейни празници, стана ясно, че отново трябва да пътуваме за Турция! Откакто се прибрахме в България през юни, Иво е на имуномодулираща терапия (Леналидомид) и след края на курса, трябваше да се направи контролно ЯМР. На 16-ти декември направихме ЯМР-то в Аджибадем Сити Клиник Варна и за огромно съжаление резултатите показват рецидив на болестта и две нови огнища в задната част на мозъка. След като изпратихме диска с изследването на лекуващите лекари в Турция, те поискаха на 27-ми декември да сме там, за да направят ПЕТ скенер и други изследвания, на базата на които да преценят как да променят протокола за лечението. Така на 26-ти декември пътуваме за Истанбул, с огромна вяра и надежда, че лекарите там ще намерят най-доброто решение и лимфома на Иво отново ще бъде овладян. Коледа е времето на чудесата, а вие вече ни накрахте да вярваме, че те съществуват, така че отново се надяваме на нашето коледно чудо!

Пожелаваме на всички вас и семействата ви много здраве и светли, топли и споделени празници!

Hello, wonderful people with huge hearts!

Just days before the brightest family holidays, it became clear that we have to travel to Turkey again! Ivo has been on immunomodulatory therapy (Lenalidomide) since we got back to Bulgaria in June and after the end of the course, we had to have a follow-up MRI. On the 16th of December we did the MRI in Ajibadem City Clinic Varna and unfortunately the results showed a relapse of the disease and two new foci in the back of the brain. After we sent the CD with the study to the treating doctors in Turkey, they requested that we be there on the 27th of December to do a PET scan and other tests based on which they could decide how to change the treatment protocol. So on the 26th of December we travel to Istanbul, with great faith and hope that the doctors there will find the best solution and Ivo's lymphoma will be controlled again. Christmas is the time of miracles, and you've already made us believe they exist, so here's hoping for our Christmas miracle again!

Wishing all of you and your families good health and a bright, warm and shared holiday season!

Stroga pravila za isplatu doniranih sredstava

Na platformi PavelAndreev.ORG jasno su definirana pravila isplate doniranih sredstava za medicinske kampanje. Ona jamče da će sve prikupljene svote biti namjenski iskorištene za liječenje i povezane troškove. Svi dokumenti na temelju kojih je izvršena isplata vidljivi su u odjeljku Vijesti.

Donirati je lako

6 jednostavnih načina za doniranje – kartica, PayPal, Apple Pay, Google Pay, Revolut, IBAN.

Pregledno izvješće

U odjeljku Vijesti pronaći ćete informacije inicijatora kampanja.

Pouzdana platforma

PavelAndreev.ORG je najsigurnija platforma za organiziranje tvoje sljedeće kampanje.