Нова усмивка за Ния A new smile for Nia

Trajtim, mjekësi dhe rehabilitim 0/0
 Donatorë
26%
Të dhuruara: 2741.28 EUR Shuma e synuar: 10737 EUR
Organizatori
Ная Иванова
Data e përfundimit
Përfundim pas 5 ditësh
Shuma e disponueshme
2741.26 EUR
Ная Иванова është organizatori i fushatës
Përfundim pas 5 ditësh
Shuma e disponueshme
2741.26 EUR

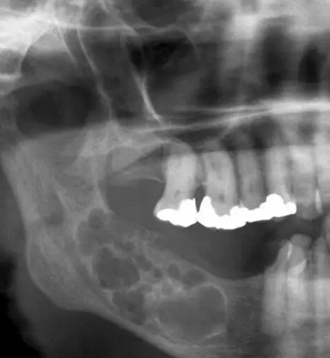
Откриха Амелобластома след направена снимка, предстои спешна операция They found Ameloblastoma after taking a picture, emergency surgery is coming

12. qershor 2024

Здравейте, След като беше направена снимка, се установи наличие на амелобластома – рядък, но агресивен тумор. Въпреки че амелобластомът е неканцерогенен, неговото бързо разпространение и инвазивен характер налагат спешни мерки. Проби от тумора са изпратени за по-нататъшно изследване, за да се определи неговият точен характер и подходящото лечение. В резултат на тази находка, специалистите препоръчват незабавна хирургическа намеса.

Операцията е наложителна за отстраняване на значителна част от зъбите и тумора, за да се предотврати по-нататъшно разрастване на тумора и потенциални усложнения. След това и възстановяне на Коста и накрая поставяне на импланти.

Hello, After a scan was taken, it was found to be an ameloblastoma - a rare but aggressive tumor. Although ameloblastoma is non-carcinogenic, its rapid spread and invasive nature necessitate urgent measures. Samples of the tumor were sent for further study to determine its exact nature and appropriate treatment. As a result of this finding, specialists recommended immediate surgical intervention.

Surgery is necessary to remove a significant portion of the teeth and tumor to prevent further tumor growth and potential complications. Then and restoration of the Costa and finally placement of implants.

Rregulla strikte për shprendarjen e fondeve të dhuruara

Platforma PavelAndreev.ORG ka rregulla të përcaktuara qartë për shprendarjen e fondeve të dhuruara për fushatat mjekësore. Ato garantojnë se të gjitha fondet do të përdoren për qëllimin e trajtimit dhe kostot shoqëruese të tij. Të gjitha dokumentet në bazë të të cilave është bërë pagesa janë të dukshme në seksionin Lajme.

Është e lehtë të dhuroni

6 mënyra të lehta për të bërë donacionin tuaj - kartë, PayPal, ApplePay, GooglePay, Revolut, IBAN.

Rishikim i raportit

Në rubrikën Lajme do të gjeni informacione nga iniciatorët e fushatave.

Platformë e besueshme

PavelAndreev.ORG është platforma më e sigurt për organizimin e fushatës suaj të ardhshme.